Ceramic
むし歯治療

General
むし歯は早めに治療をしましょう
磨き残しがあると、お口の中に細菌の塊であるプラーク(歯垢)が出来上がります。
細菌は食べかすなどを餌に酸を排出するので、徐々に歯が溶けていきます。これがむし歯のメカニズムです。
少し歯が溶けた状態(脱灰)ならば、唾液の再石灰化作用により元の健康な歯質に戻る可能性があります。しかし、脱灰の進行スピードが再石灰化作用を上回ると、エナメル質に穴が開きます。
こんな症状はありませんか?
- 歯が痛む・しみる
- 歯が白く濁ったように変色している
- 歯が黒くなっている
- 冷たいものがしみる
- 歯に穴が開いている
- 噛むと痛みが走る
こんな症状がある方は、
当院までお気軽にご相談ください。
むし歯になる原因とは?
細菌
むし歯菌が増えると、むし歯になるリスクが高くなります。予防のためには、セルフケアに加えて歯科医院での定期的なメインテナンスを通じて、お口の中の細菌量をコントロールする必要があります。
歯質
歯磨きを丁寧に行っても、歯質が弱ければむし歯リスクが高くなります。歯質を強化するフッ素塗布を定期的に行い、むし歯に負けない強い歯を作りましょう。
糖質
むし歯菌は糖を餌にして増殖し、お口の中に酸を放出します。歯は酸に弱く、簡単に溶けてしまいます。糖質の摂りすぎには注意し、食後は必ず歯磨きをするように心がけましょう。
むし歯の進行段階

①初期段階
初期の小さなむし歯です。白っぽく濁って見えることもあります。
むし歯菌による影響が少ないため、フッ素塗布などを行い、できるだけ削らずに経過観察を行います。

②エナメル質のむし歯
歯の表面のエナメル質が溶かされ、むし歯が少しずつ進行している状態です。
むし歯を正確に削り取り、詰め物をするケースがほとんどです。削らずに定期的なチェックを行うこともあります。

③神経に近いむし歯
エナメル質の奥の象牙質にまで細菌が進行している状態です。象牙質は神経に近く、食べ物や飲み物の温度が刺激となり、知覚過敏として歯がしみるようになります。
むし歯を削り取り、詰め物をするのが基本です。症例によっては歯を大きく削り、被せ物を被せることもあります。

④神経に到達したむし歯
歯の神経がむし歯菌に感染し、強烈な痛みを引き起こします。歯の根や先端に膿が溜まっていることもあり、口臭の原因にもなります。
治療法としては根管治療を行うのが基本です。細菌に感染した組織を除去・清掃・殺菌し、被せ物を被せていきます。

⑤末期のむし歯
歯の大部分が失われている状態です。根の先端に膿が溜まっていると、顎の骨や周囲の歯に悪影響を及ぼすようになり非常に危険です。
多くのケースで抜歯を検討します。抜歯後は、部分入れ歯やブリッジ、インプラントなどの治療をご提案します。
TOTALCLEAN
ワンランク上の予防対策
自然にむし歯が治ることはありません。
むし歯は痛くなくても進行しており、痛くなってからでは、削ったり抜いたりする必要があります。
あなたのむし歯の原因は何ですか?
むし歯菌ですか?生活習慣ですか?唾液の抵抗力ですか?
原因に対する予防対策をしておけば、定期健診でむし歯を恐れることはありません。
定期的に検診を受けていただき、自覚症状にとらわれず、むし歯と診断結果が出た場合は早めに治療を受けてください。
むし歯の治療方法

歯の寿命をのばすCAD/CAMセラミック
大切な患者様のむし歯を治療するとき、「なるべく歯を残してあげたい」、「見た目に自然な仕上がり」を意識しています。
そして何より「出来るだけ長持ちしてほしい」。
むし歯を治療するたびに「銀歯」が増えると「見た目」ばかり気になるのはわかります。
しかし実際は「金属アレルギーの問題」や「接着弱さによる再むし歯の問題」などあまり知られていない問題点もあります。
むし歯の治療の第一選択は今、身体に優しいセラミック治療に変わりました。
進化し続けるセラミック治療は、むし歯の再発を抑制するだけではなく、美しく自然に仕上がりを即日で手に入れることができます。
CAD/CAMとはむし歯で削った歯を光学カメラで撮影し、コンピュータで設計した詰め物や被せ物のデータをミリングマシンという機械で削りだして仕上げるシステムです。
当院では従来のセラミック治療からさらに進化した高強度セラミック(ジルコニア)治療を得意としています。
※ジルコニア治療の場合、特殊加工が必要なため、治療に2回かかります。
CAD/CAMの特徴
- 何より金属アレルギーの原因にならないので、身体に優しい。
- 「銀歯」治療のように苦しい型取りは不要です。
- 「銀歯」治療より削る範囲を最小限にできます。
- 歯質と接着し一体化するので、「銀歯」より外れにくく、再むし歯になりにくい。
- セラミックブロックは規格化されており、素材安定性が高い。
- ジルコニアセラミックは強度が十分で、奥歯にも対応できる。
- もちろん、美しい自然な仕上がり。
- 人間の手作業を省略できるので、従来のセラミック治療より安価。
治療の流れ
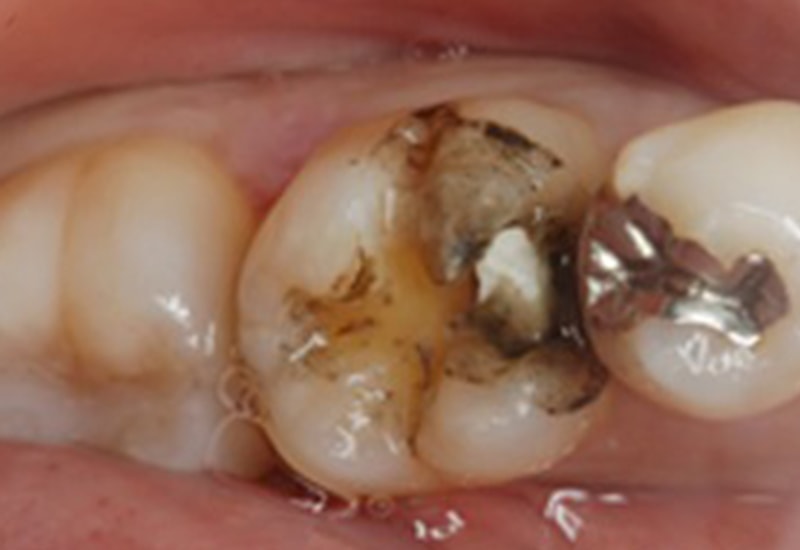
「銀歯」をはずすと、細菌が侵入し、黒くなっています。
黒くなった部分を綺麗に削って、CAD/CAMスキャナでデータを取り込みます。
作製する詰め物を、パソコン上で設計します。
ミリングマシンでセラミックブロックを削り出します。
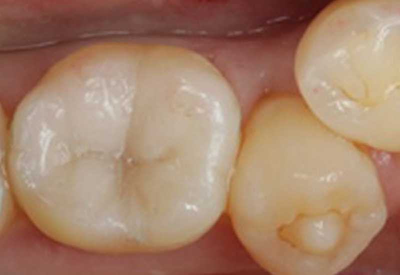
最新CERECで「銀歯」から「セラミックの時代」へ。
AESTHETIC
歯を健康的に
美しくしましょう
当院では、単に見た目を良くするだけでなく、お口の健康にも役立つ審美歯科治療を提供しております。歯の機能回復と美しさの両立を図るため、患者様一人ひとりのニーズに合わせたオーダーメイドの治療計画をご提案します。

